Cabinet de Parodontologie et d'Implantologie
Dr RIMBERT Matthieu & Dr HALABI Antoine
70 Avenue Victor Ségoffin, 31400 TOULOUSE
+33 5 62 26 10 02
Cabinet de Parodontologie et d'Implantologie
Dr RIMBERT Matthieu & Dr HALABI Antoine

Blog - Page 4

Le syndrome d'apnées obstructives du sommeil (saos)

Le syndrome d'apnées obstructives du sommeil (saos)

Les micro-réveils nocturnes peuvent être le signe d'une apnée du sommeil avec obstruction respiratoire. Si vous êtes concerné, consultez rapidement pour retrouver un sommeil serein !

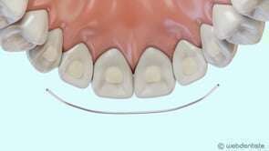
Fil de contention

Fil de contention

Conséquence de la perte des dents postérieures

Conséquence de la perte des dents postérieures

Protocole de dévitalisation d'une dent ou traitement endodontique

Protocole de dévitalisation d'une dent ou traitement endodontique

Parodontite et formation de la poche parodontale

Parodontite et formation de la poche parodontale

Le surfaçage

Le surfaçage

Affichage des articles 19-24 sur 133